What is Top of Foot Pain?
Top of foot pain can range from a minor ache to a debilitating condition that makes walking or standing uncomfortable. This type of discomfort is common, with studies showing that foot pain affects between 13% and 36% of the population. The pain often originates from the foot's complex structure, which includes 26 bones, 33 joints, and over 100 muscles, ligaments, and tendons.
Common causes of pain on the top of the foot include:
- Overuse Injuries: Such as extensor tendonitis from repetitive movement.
- Stress Fractures: Tiny bone cracks from repeated stress, common in the metatarsals.
- Arthritis: Conditions like gout or osteoarthritis affecting foot joints.
- Nerve Compression: Like tarsal tunnel syndrome, causing burning or tingling.
- Improper Footwear: Tight shoes that put pressure on the foot.
For quick relief, try resting your foot, applying ice, elevating it, wearing supportive shoes, and using over-the-counter pain relievers.
This pain doesn't always stem from a major injury; it can build slowly, making it difficult to pinpoint the exact cause. This guide will explore the reasons your top of foot might hurt, covering common causes, symptoms, and the best ways to find relief.
I'm Tony Enrico, creator of Neuropasil. I believe no one should live at the mercy of pain, including top of foot pain. My mission is to provide effective relief that restores comfort and helps you regain your freedom to move.

Related content about top of foot pain:
Common Causes of Top of Foot Pain
Your foot is an amazing piece of engineering, but its many moving parts make it a common spot for pain. This section covers the various reasons you might feel discomfort on the top, or "dorsal" side, of your foot. Understanding these causes is the first step toward relief.
Overuse and Repetitive Stress Injuries
When we overuse our feet or subject them to repetitive motions, inflammation and damage can occur on the top of the foot, leading to pain.
Extensor Tendonitis
Extensor tendonitis is the inflammation of the tendons that lift your toes and flex your foot, typically caused by overuse. It's a common issue for athletes like runners and dancers. You might feel swelling, tenderness, or weakness on the top of foot pain. The pain often worsens when you lift your toes, and even wearing shoes can be uncomfortable as laces press on the sensitive tendons.
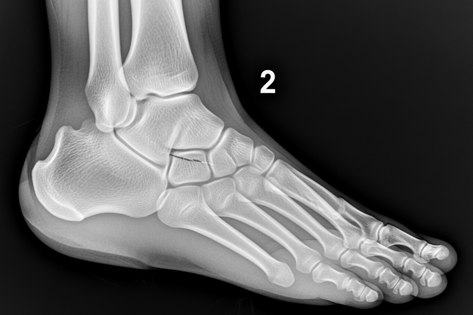
Stress Fractures
Stress fractures are tiny, hairline cracks in bones, commonly the metatarsal bones, that develop from repeated force. This can result from the constant impact of running on hard surfaces, a sudden increase in activity, or starting a new high-impact sport. The pain usually starts slowly, worsens with activity, and improves with rest. You might also notice localized swelling, tenderness, and sometimes bruising.
Underlying Medical Conditions
Sometimes, top of foot pain is a symptom of an internal medical condition, which can make diagnosis more complex.
Arthritis
"Arthritis" refers to joint inflammation, and several types can affect the small joints in your foot.
- Osteoarthritis: This "wear-and-tear" arthritis involves the breakdown of joint cartilage, common in the midfoot. It causes pain, stiffness, and swelling, often worsened by tight shoes.
- Gout: This is a painful arthritis caused by uric acid crystal buildup in a joint. While common in the big toe, it can cause sudden, severe pain, swelling, redness, and warmth on the top of the foot, sometimes with fever and chills.
Nerve Entrapment
Pinched or compressed nerves can send various uncomfortable signals.
- Tarsal Tunnel Syndrome: This occurs when the posterior tibial nerve is compressed in the ankle. Notably, some research indicates that up to 43% of cases are linked to a history of ankle trauma. While pain often radiates to the arch and heel, it can cause burning, tingling, or numbness on the top of foot pain.
- Deep Peroneal Nerve Entrapment: Compression of this nerve, which runs along the top of the foot, can cause pain and numbness in that specific area.
- Peripheral Neuropathy: This condition involves damage to peripheral nerves, often seen in people with diabetes. It can cause a constant burning, tingling, or electric shock sensation on the top of the foot.
For a deeper dive, explore resources like Understanding Top of Foot Pain: Causes, Symptoms & Treatment.
Ganglion Cysts
These are harmless, fluid-filled lumps that can form near joints or tendons. A ganglion cyst on top of the foot can cause pain by pressing on a nerve or from shoe pressure.
Bone Spurs (Dorsal Boss)
A bone spur, or "dorsal boss," is an extra bone growth on a joint, often in the midfoot. These spurs can cause pain by rubbing against shoes or creating pressure during movement.
Acute Injuries and Footwear Factors
Sometimes, top of foot pain results from a sudden injury, and footwear choices can play a significant role.
Lisfranc Injury
A Lisfranc injury is serious damage to the midfoot ligaments. It's caused by trauma, such as a fall or heavy impact, resulting in severe pain, swelling, bruising, and an inability to bear weight. This injury requires immediate medical attention.
Sprains and Strains
These common injuries involve stretched or torn ligaments (sprain) or muscles/tendons (strain). A sudden twist or awkward landing can cause immediate pain, swelling, and tenderness.
Improper Footwear
Ill-fitting footwear is a major contributor to top of foot pain.
- Tight Shoes: Shoes that are too tight can put excessive pressure on bones, tendons, and nerves, worsening conditions like extensor tendonitis or bone spurs. High heels also increase pressure on the front of the foot.
- Lack of Arch Support: Shoes without proper arch support can alter your foot mechanics, putting extra stress on the top of the foot and contributing to tendonitis or stress fractures.
Choosing the right shoes is vital for foot health. We believe in a natural approach to wellness, which includes understanding product ingredients. Learn more about our commitment at More info about our natural ingredients.
Symptoms, Diagnosis, and When to See a Doctor
Recognizing your body's signals is the first step toward a proper diagnosis and treatment plan.
Recognizing the Symptoms of Top of Foot Pain
Symptoms can vary widely. You might experience a dull, lingering ache or a sharp, shooting pain. Visible signs include swelling, bruising or discoloration, and redness and warmth, which often indicate inflammation. Other common symptoms include pain that worsens with activity and discomfort from shoe pressure. Pay close attention to any tingling or numbness, as these sensations often signal nerve compression or irritation and should be discussed with your doctor.
Red Flags: When to Seek Urgent Medical Care
While many cases can be managed at home, certain red flags require urgent medical attention. Seek immediate care if you experience:
- An inability to walk or bear weight on the foot after an injury.
- A visible deformity or odd angle in your foot.
- A distinct "snap" or "popping" sound during injury.
- Signs of infection, such as fever, chills, or hot, red, swollen skin with pus.
- Severe, uncontrolled pain that doesn't respond to pain relievers.
- Sudden numbness or loss of sensation.
- An unusual change in your foot's shape.
If you experience any of these, don't hesitate to get checked out. For urgent advice, you can Get help from 111 online or contact local urgent care services.
How a Doctor Diagnoses Top of Foot Pain
A healthcare professional will diagnose the cause of your pain through a careful process. This begins with a medical history review, where they'll ask about your symptoms, activity levels, and past injuries.
Next is a physical examination. The doctor will inspect your foot for swelling, redness, tenderness, or lumps and assess your range of motion. They may also perform a gait analysis, watching you walk to identify any biomechanical issues contributing to your pain.
To see what's happening inside, your doctor might order imaging tests. X-rays are used to check for fractures or arthritis. If a soft tissue injury is suspected, an MRI or Ultrasound can provide detailed views of tendons, ligaments, and nerves to identify conditions like tendonitis or nerve entrapment.

Effective Relief and Treatment Options
Experiencing top of foot pain can be frustrating, but relief is attainable. There are many ways to manage your pain, from simple home care to advanced treatments, helping you move freely again.
At-Home Care and Lifestyle Adjustments
When top of foot pain flares up, simple at-home care can make a significant difference. These strategies are an excellent first step toward feeling better.
The R.I.C.E. Method is highly effective: Rest your foot by avoiding painful activities. Apply Ice for 15-20 minutes every few hours to reduce swelling and pain. Use a Compression bandage to minimize swelling. Lift your foot above your heart when resting to help drain fluid.
Incorporate gentle stretching exercises for your foot and ankle to improve flexibility, but consult a professional to ensure you're doing the right stretches for your condition.
Footwear modifications are crucial. Choose shoes with a wide toe box, proper arch support, low heels, and soft soles. Consider over-the-counter insoles and always replace worn-out athletic shoes.
Additionally, weight management can reduce stress on your feet. Listen to your body and avoid activities that aggravate your pain. Over-the-counter pain relievers like ibuprofen can also help manage discomfort.
Neuropasil and Topical Relief Solutions
For targeted relief, topical solutions can address nerve pain, muscle soreness, and inflammation directly on the top of your foot.
Our Neuropasil Nerve Pain Relief Cream is formulated for fast-acting, soothing comfort. It's packed with natural ingredients like Aloe, Urea, and Menthol to tackle burning, tingling, and aching sensations. The menthol provides an immediate cooling effect, while other ingredients soothe and promote comfort. Our customers find it incredibly helpful for conditions like neuropathy, plantar fasciitis, and everyday aching feet.
To learn more about how topical creams can improve your foot comfort, read The Complete Guide to Effective Foot Pain Creams.
Your doctor might also suggest professional treatments. Physical therapy guidance can provide a personalized exercise plan to strengthen muscles and improve mechanics. For issues like flat feet, custom orthotics can offer crucial support. In severe cases, a doctor might recommend steroid injections or, rarely, surgery to correct structural problems. There are always options on your journey to pain-free feet!
Preventing Future Pain and Long-Term Outlook
Taking proactive steps can protect your feet from future injury and prevent the long-term consequences of ignoring top of foot pain. This is an investment in your future mobility and comfort.
Proactive Strategies for Foot Health
Proactive prevention is key to long-term foot health. Your feet carry you through life, so treating them well is essential.
- Proper shoe selection is foundational. Choose shoes with a good fit, adequate arch support, and a wide toe box. Avoid overly tight shoes or high heels, and replace athletic shoes every 300-500 miles.
- Gradual progression is crucial when starting or intensifying an exercise routine. Give your feet time to adapt to new demands to avoid stress injuries.
- Warm-up and cool-down routines are non-negotiable. A few minutes of preparation and post-activity stretching can prevent injuries and reduce inflammation.
- Regular foot and ankle stretching maintains flexibility and prevents tightness. Make simple stretches for your calves, Achilles tendon, and the top of your foot part of your daily routine.
- Maintaining a healthy body weight dramatically reduces the stress on your feet, easing the load on your bones, joints, and soft tissues.
The Consequences of Ignoring Foot Pain
Ignoring top of foot pain can lead to more serious issues. What starts as minor discomfort can escalate if left unaddressed.
- Chronic pain: Occasional discomfort can become a constant, daily struggle that impacts your quality of life.
- Altered gait: To avoid pain, you might unconsciously change how you walk. This unnatural movement pattern puts stress on other joints and muscles.
- Compensatory injuries: An altered gait can lead to new problems in your knees, hips, and lower back as your body tries to compensate for the foot pain.
- Worsening of underlying conditions: Untreated issues like arthritis or nerve damage can progress, leading to more severe symptoms or irreversible damage.
- Decreased mobility and quality of life: Persistent foot pain can limit your ability to perform daily activities, enjoy hobbies, and maintain your independence and fitness.
Taking action early and listening to your body is the best way to maintain healthy, pain-free feet. For more wellness tips, we invite you to Read more on our blog.
Conclusion
This guide has covered the complex anatomy of the foot and the various causes of top of foot pain, from overuse injuries like extensor tendonitis to underlying medical conditions like arthritis and nerve entrapment. We've also seen how acute injuries and improper footwear can cause significant discomfort.
The most important takeaway is that proper diagnosis is crucial. Listen to your body's signals—like pain, swelling, or tingling—and know when to seek medical help, especially for red flag symptoms. This can be the difference between a quick recovery and long-term problems.
Relief often begins at home with the R.I.C.E. method and better footwear choices. When you need targeted comfort for nerve pain, burning sensations, or deep muscle aches on the top of your foot, a natural topical solution can be a powerful ally. That's where Neuropasil comes in. Our blend of natural ingredients like Aloe, Urea, and Menthol is designed for fast-acting relief, helping you move more freely.
You don't have to live with foot pain. By understanding the cause, taking action early, and being proactive, you can take control of your foot health. Your feet carry you through life; they deserve your care.
Ready to experience soothing relief? Shop Neuropasil Nerve Pain Relief Cream today and take the first step toward comfort.
References
The information in this article is based on data from reputable medical and health organizations. All factual claims and statistics are supported by the following sources:
- Foot Anatomy and General Causes of Foot Pain: Information on the foot's structure (26 bones, 33 joints, 100+ muscles/tendons) and common causes of pain is sourced from Johns Hopkins Medicine. Source: Johns Hopkins Medicine
- Prevalence of Foot Pain: The statistic that foot pain affects 13% to 36% of the population is from a study published in the Journal of Foot and Ankle Research. Source: NCBI
- Tarsal Tunnel Syndrome: The finding that up to 43% of Tarsal Tunnel Syndrome cases are associated with past ankle trauma is from a resource provided by Rheumatology.physio. Source: Rheumatology.physio
- Athletic Shoe Replacement: The recommendation to replace athletic shoes every 300-500 miles is provided by the American Academy of Podiatric Sports Medicine. Source: AAPSM
- Urgent Medical Care Guidance: The advice on when to seek urgent medical attention is aligned with guidelines from the UK's National Health Service. Source: NHS 111 online
- Top of Foot Pain Overview: Additional information on the causes, symptoms, and treatment of top of foot pain was referenced from the Ankle & Foot Centers of Georgia. Source: Ankle & Foot Centers




